小児歯科の治療例
小児歯科におけるありとあらゆる診療が可能です。
治療が必要だけれども、トレーニングをしても上手にならず、虫歯が進行してしまった患者さんも治療します。
歯並びに関しても、矯正歯科と緊密に連携してます。
また、過剰歯や歯茎の異常(上唇小帯や舌小帯など)の小手術も行います。
但し、易感染性の全身疾患をお持ちの方の治療は、大学病院を紹介させていただきます。
実際の治療例をご紹介
虫歯の治療
| 治療前 | 治療後 |
|---|---|
![]() |
![]() |
- 来院の理由
- 虫歯の治療 (バタバタ動いて治療ができない、とのことで近医より紹介)
- 治療期間
- 1か月(3-4回の通院)
- 治療内容について
- ほとんど全ての歯に虫歯があります。 当院では、1歯ずつではなく、約2歯ずつブロックで治療を行いますので、通院回数が少なく、治療が終了します。 治療終了後は、定期検診で新しい虫歯ができないようにすることが大切です。
| 治療前 | 治療後 |
|---|---|
![]() |
![]() |
- 来院の理由
- 虫歯の治療
低年齢のため治療ができないとのことで、近医より紹介。 - 治療期間
- 約6か月
- 治療内容について
- 1歳6か月時で来院されました。1歳6か月では歯がまだ硬くないので、すぐに神経の処置になってしまいます。う蝕が進行しないような処置をしながら、歯が硬くなるのを待って、2歳頃を目安に治療を行いました。 詰め物はプラスチックの詰め物です。
| 治療前 | 治療後 |
|---|---|
![]() |
![]() |
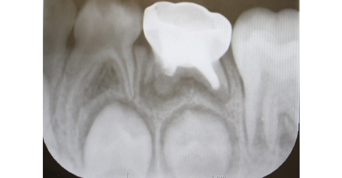
- 来院の理由
- 穴が大きくなってきたので、近くの歯医者さんで治療したが、手足が動いてしまい、治療ができなかったので治療して欲しい。
- 治療期間
- 1か月
- 治療内容について
- 仮の蓋をしてもらっている状態で来院されました。 治療前のレントゲン写真より、神経のお部屋近くまで虫歯が進行しているのがわかります。 レントゲン写真では、見た目よりも虫歯が深く進行しているのがわかります。 残念ながら、虫歯は深く、神経の処置を行いました。 乳歯の下で永久歯が育ち始めている時期です。乳歯の治療をしないと、永久歯の成長を阻害することもあります。
| 治療前 | 治療後 |
|---|---|
![]() |
![]() |
- 来院の理由
- 歯が腫れた
- 治療期間
- 2回
- 治療内容について
- 乳歯の虫歯が大きく、歯の回りの骨が膿で大きく溶けてしまった場合は、抜歯が必要になることがあります。
永久歯が生える時、乳歯を押しながら生えてきますので、抜歯した後のスペースは減ってしまい、永久歯の歯並びが悪くなる原因となります。そのため、抜歯したスペースが減らないように維持する装置(保隙装置)を入れる必要があります。
※保険診療か自費診療かは、保隙装置の種類や年齢によって異なります。
けが・歯がかけた
| 治療後 |
|---|
![]() |
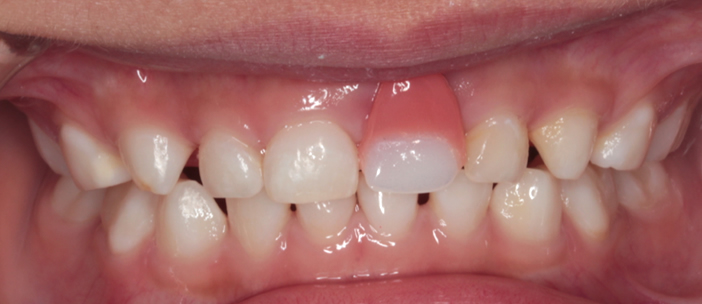
- 来院の理由
- 前歯のケガ 棒が前歯に当たって揺れて痛い
- 治療期間
- 固定は1か月、その後1年間の経過観察が必要
- 治療内容について
- 揺れる前歯は、1か月間ワイヤーで固定をします(ギプスのようなもの)。1か月後にワイヤーを外して、その後は1年間程度経過観察を行います。 乳歯のケガの場合は、永久歯交換まで経過観察を行います。
| 治療前 | 治療後 |
|---|---|
![]() |
![]() |
- 来院の理由
- 前歯のケガの後、歯茎が腫れてきた(矢印部)
- 治療期間
- 3-4年(ケガした年齢によります)
- 治療内容について
- 前歯のケガの後、歯の神経が弱り、歯の根が急速に吸収して腫れてしまうことがあります。残念ながら、歯を残すことは難しく抜歯となりました。永久歯が生えるまで3-4年ほどありますので、抜歯したスペースを維持するために小児用の入れ歯(義歯)を使うこともできます。 自費診療となります。
その他
| 治療前 | 治療後 |
|---|---|
![]() |
![]() |
- 来院の理由
- 上の前歯が離れている
- 治療期間
- 治療回数1回
- 治療内容について
- 上の前歯が離れている原因の一つに、歯茎の異常(正式には上唇小帯の付着異常)があります。前歯の間まで硬い歯茎が入り込んでいるために、歯が寄らずに隙間が空いたままのことがあります。この場合は、硬い歯茎を取ってあげると、自然に前歯が寄ってくれることもあります。
| 治療前 | 治療後 |
|---|---|
![]() |
![]() |
- 来院の理由
- 舌が短い (矯正歯科の先生より紹介)
- 治療期間
- 治療回数は1回、その後トレーニング
- 治療内容について
- 舌が短い理由は、舌の下のヒダ(舌小帯)が短く、手前でくっついていることが原因です。そのヒダを少し切ってあげると、舌を動かしやすくなり、発音もしやすくなります。 しかし、舌を動かすトレーニングを行うことが大切です。














